科美達產品
瀏覽量:
K8
產品描述
參數
產品特點:
1、全新一代便攜彩超,采用高端彩超技術,提供完整的臨床解決方案,適應各種臨床環境
2、圖像細膩,質量優異,同時性能穩定,每天能做大量檢查
3、選擇手動或自動包絡頻譜,一鍵顯示各種血流動力學數據
4、高分辨率灰階血流成像,明顯提升對微細血管的血流探測能力,對大血管管壁成像及管壁斑塊的診斷有著很大幫助
5、自動包絡處理,實現快速診別診斷,提高醫生掃查效率。
6、DICOM 3.0標準數據傳輸協議,能實現PACS查看與存檔功能
7、條形碼識別,從醫院生成的條形碼獲取病人信息,提高效率,避免信息錯誤
8、優雅的設計,精致的外觀,輕巧的機身,簡單的操作流程
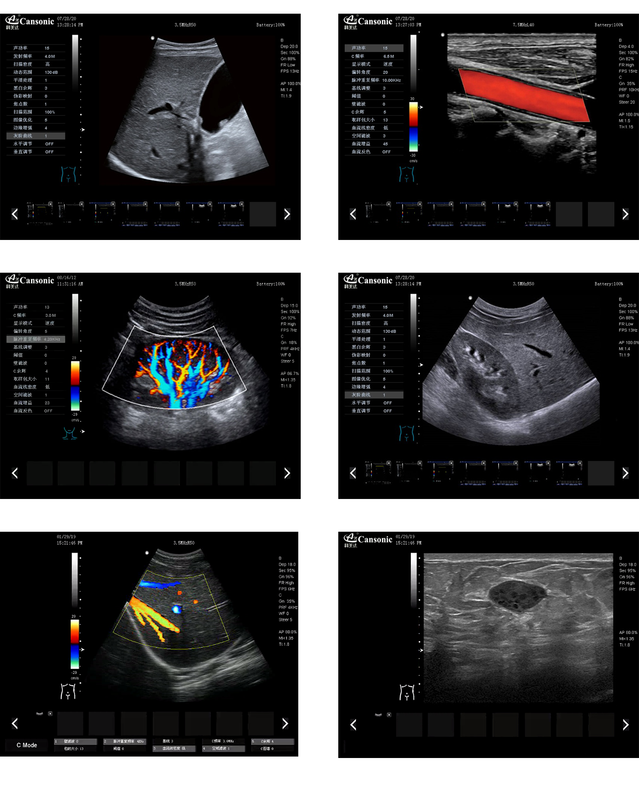
科美達K8圖像實例

地址:無錫市蠡園經濟開發區標準廠房A6棟二層
全國免費服務熱線:
4007999995
電話:0510-85169812、85167221
傳真:0510-85162335
郵編:214072
網址:
http://www.meiyingfood.com
郵箱: kmdyl@wxkmd.com
關注我們
手機網站
Copyright ? 2023 無錫科美達醫療科技有限公司 All rights reserved. 蘇ICP備15001300號
網站建設: 米又科技